Kolloidales hydrozephalus, more commonly known as colloid cyst of the third ventricle, represents a rare but significant neurological condition that affects the brain’s ventricular system. This benign growth can cause serious complications due to its strategic location within the brain’s fluid pathways. Patients and their families often wonder about the possibility of a cure and what treatment options might be available.
Understanding this condition “Can Kolltadihydo Be Cured” its nature, symptoms, diagnostic approaches, and the various therapeutic interventions that modern medicine offers. While the term “cure” suggests complete elimination of the condition, the reality of treating colloid cysts involves careful consideration of multiple factors including cyst size, symptom severity, and individual patient circumstances.
Understanding Colloid Cysts and Their Impact on the Brain
Colloid cysts are slow-growing, benign fluid-filled sacs that develop in the third ventricle of the brain, positioned at a critical junction where cerebrospinal fluid flows between different chambers. These cysts contain gelatinous material and are typically surrounded by a thin epithelial lining. Though considered congenital in most cases, meaning they may be present from birth, they often don’t cause symptoms until adulthood when they’ve grown large enough to obstruct fluid flow.
The third ventricle’s strategic location means that even a small cyst can have significant consequences by blocking the normal circulation of cerebrospinal fluid throughout the brain. This obstruction can lead to a condition called hydrocephalus, where fluid accumulates and increases pressure within the skull.
Recognizing the Symptoms and Warning Signs
Symptoms of colloid cysts can vary dramatically from person to person, ranging from completely asymptomatic cases discovered incidentally during brain imaging for unrelated reasons to severe, life-threatening presentations requiring emergency intervention. The most common symptom is headache, which may be positional in nature, meaning it worsens or improves with changes in head position due to the cyst’s movement within the ventricle.
These headaches are often described as severe, sudden-onset, and located in the frontal region of the head. Patients may also experience memory problems, difficulty concentrating, behavioral changes, and altered mental status as the increased intracranial pressure affects brain function. In more severe cases, individuals might develop nausea, vomiting, vision problems, gait disturbances, and balance difficulties. Perhaps most concerning is the potential for sudden deterioration, where a cyst shifts position and completely blocks cerebrospinal fluid flow, creating a medical emergency that can lead to loss of consciousness or even death if not promptly treated.
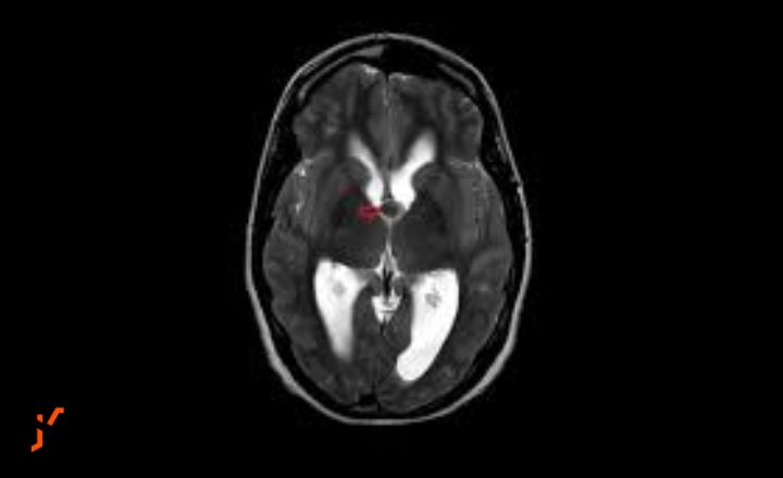
Diagnostic Approaches and Modern Imaging Techniques
Accurate diagnosis of colloid cysts relies heavily on advanced neuroimaging techniques that can visualize the brain’s internal structures with remarkable precision. Magnetic resonance imaging, or MRI, has become the gold standard for identifying and characterizing these cysts, offering superior soft tissue contrast that allows neurologists and neurosurgeons to determine the cyst’s exact size, location, and relationship to surrounding structures.

The appearance of colloid cysts on MRI can vary depending on their protein content, typically showing as round or oval masses in the anterior third ventricle near the foramen of Monro. Computed tomography scans may also be used, particularly in emergency situations, though they provide less detailed information about cyst characteristics. Beyond simply identifying the cyst’s presence, imaging helps clinicians assess whether hydrocephalus has developed and evaluate the degree of ventricular enlargement. Serial imaging over time can track cyst growth rates and help determine when intervention becomes necessary, making these diagnostic tools essential not just for initial diagnosis but for ongoing monitoring and treatment planning.
Surgical Treatment Options and Curative Approaches
When addressing whether colloid cysts can be cured, surgical removal represents the closest thing to a definitive cure that modern medicine can offer. Complete surgical excision of the cyst eliminates the source of obstruction and prevents future complications related to that particular cyst. Several surgical approaches have been developed, each with distinct advantages and considerations. The transcortical transventricular approach involves creating a small corridor through brain tissue to access the ventricle and remove the cyst under direct visualization.
Alternatively, the interhemispheric transcallosal approach separates the brain’s two hemispheres along their natural division to reach the third ventricle from above. More recently, endoscopic techniques have gained popularity, using minimally invasive methods where a small camera and instruments are inserted through a tiny opening in the skull. The endoscopic approach typically results in shorter hospital stays and faster recovery times, though complete cyst removal may be more challenging compared to open microsurgical techniques. Success rates for surgical removal are generally excellent, with most patients experiencing complete symptom resolution and no recurrence when the cyst is entirely removed.
Conservative Management and Monitoring Strategies
Not every colloid cyst requires immediate surgical intervention, and in many cases, a conservative approach with careful monitoring may be appropriate. Small, asymptomatic cysts discovered incidentally often can be safely observed with periodic imaging studies to ensure they’re not growing or beginning to cause problems. This watch-and-wait strategy is particularly suitable for elderly patients, those with significant medical comorbidities that increase surgical risk, or individuals whose cysts are very small and showing no signs of causing obstruction. The monitoring protocol typically involves regular MRI scans at intervals determined by the neurosurgeon, often starting with annual imaging and potentially extending to longer intervals if the cyst remains stable.
Patients under observation are educated about warning symptoms that should prompt immediate medical attention, ensuring that any changes in the cyst’s behavior are caught early. While this approach doesn’t cure the condition, it allows many patients to live normal lives without surgery while maintaining appropriate vigilance. The decision to transition from observation to active treatment is made based on factors including cyst growth, development of symptoms, or changes in ventricular size suggesting early hydrocephalus.
Risks, Complications, and Long-Term Outcomes
Understanding the potential risks associated with both the condition itself and its treatment is essential for patients making informed decisions about their care. Untreated colloid cysts that cause significant obstruction carry risks including chronic headaches, cognitive decline, permanent neurological damage from sustained increased intracranial pressure, and in rare cases, sudden death from acute hydrocephalus.
Surgical treatment, while generally safe in experienced hands, carries its own set of potential complications including bleeding, infection, damage to surrounding brain structures, memory difficulties, and risks associated with general anesthesia. The specific complication rates vary depending on the surgical approach chosen and the surgeon’s expertise.
Despite these risks, the long-term outcomes for patients who undergo successful cyst removal are typically excellent. Studies show that the vast majority of symptomatic patients experience complete or near-complete resolution of their symptoms following surgery, with recurrence rates being very low when complete excision is achieved. Most patients return to their normal activities within weeks to months after surgery and require no ongoing treatment beyond occasional follow-up imaging to confirm that the cyst hasn’t returned.
Living with a Colloid Cyst: Quality of Life Considerations
The impact of colloid cysts on quality of life extends beyond physical symptoms to encompass psychological, social, and practical dimensions that affect patients and their families. For those under observation, living with the knowledge of a brain cyst can create anxiety and stress, even when the cyst is stable and causing no symptoms. Some patients find themselves hyperaware of every headache or moment of forgetfulness, wondering if it signals cyst growth or complications. This psychological burden underscores the importance of clear communication between patients and their medical teams, ensuring that individuals understand their specific situation and know what symptoms genuinely warrant concern. For patients who undergo successful surgical treatment, quality of life typically improves dramatically as debilitating symptoms resolve.

Some individuals may experience temporary cognitive changes or adjustment periods following surgery as the brain adapts to the procedure. Support from healthcare providers, family members, and sometimes professional counselors can help patients navigate these challenges. Ultimately, whether managed through observation or treated surgically, most people with colloid cysts can maintain excellent quality of life with appropriate medical care and support.
The Future of Treatment: Emerging Technologies and Research
The landscape of colloid cyst treatment continues to evolve as neurosurgical techniques advance and our understanding of these lesions deepens. Research into minimally invasive approaches aims to reduce surgical trauma while maintaining high cure rates, with innovations in endoscopic equipment and techniques allowing surgeons to perform increasingly complex procedures through smaller openings. Computer-assisted navigation systems and intraoperative imaging help surgeons visualize anatomy in real-time, improving precision and safety.
Scientists are also investigating the biological origins of colloid cysts at the molecular level, seeking to understand why they develop and whether future preventive strategies might be possible. Some researchers are exploring the potential for non-surgical interventions, though currently no medications or non-invasive treatments can eliminate these cysts.
Advanced imaging techniques are being refined to better predict which cysts are likely to cause problems and which can be safely observed, potentially sparing some patients from unnecessary procedures while ensuring timely intervention for those who need it. As these technologies and insights continue to develop, the future promises even better outcomes and more personalized treatment strategies for individuals diagnosed with colloid cysts.
Conclusion
To answer the fundamental question of whether colloid cysts can be cured, the evidence strongly suggests that yes, complete surgical removal offers a definitive cure for this condition, eliminating the cyst and preventing future complications. While the word “cure” carries significant weight in medical terminology, it is appropriate in this context because successful surgical excision removes the entire cyst, addresses the underlying obstruction, and in most cases prevents recurrence.
The key to achieving optimal outcomes lies in early detection, accurate diagnosis, and thoughtful decision-making about when and how to intervene. For patients with small, asymptomatic cysts, careful monitoring may be all that’s required, allowing them to live normally while ensuring any changes are caught early. For those experiencing symptoms or showing signs of hydrocephalus, modern neurosurgical techniques offer safe and effective treatment options with excellent success rates.

